ARB DENTAL
place D-18, KOELNAGAR , Rourkela,769014
person Dr, Bhagyashree Lenka ( BDS, MDS ) Periodontist
mail_outline[email protected]
date_rangeEstablished in 2025
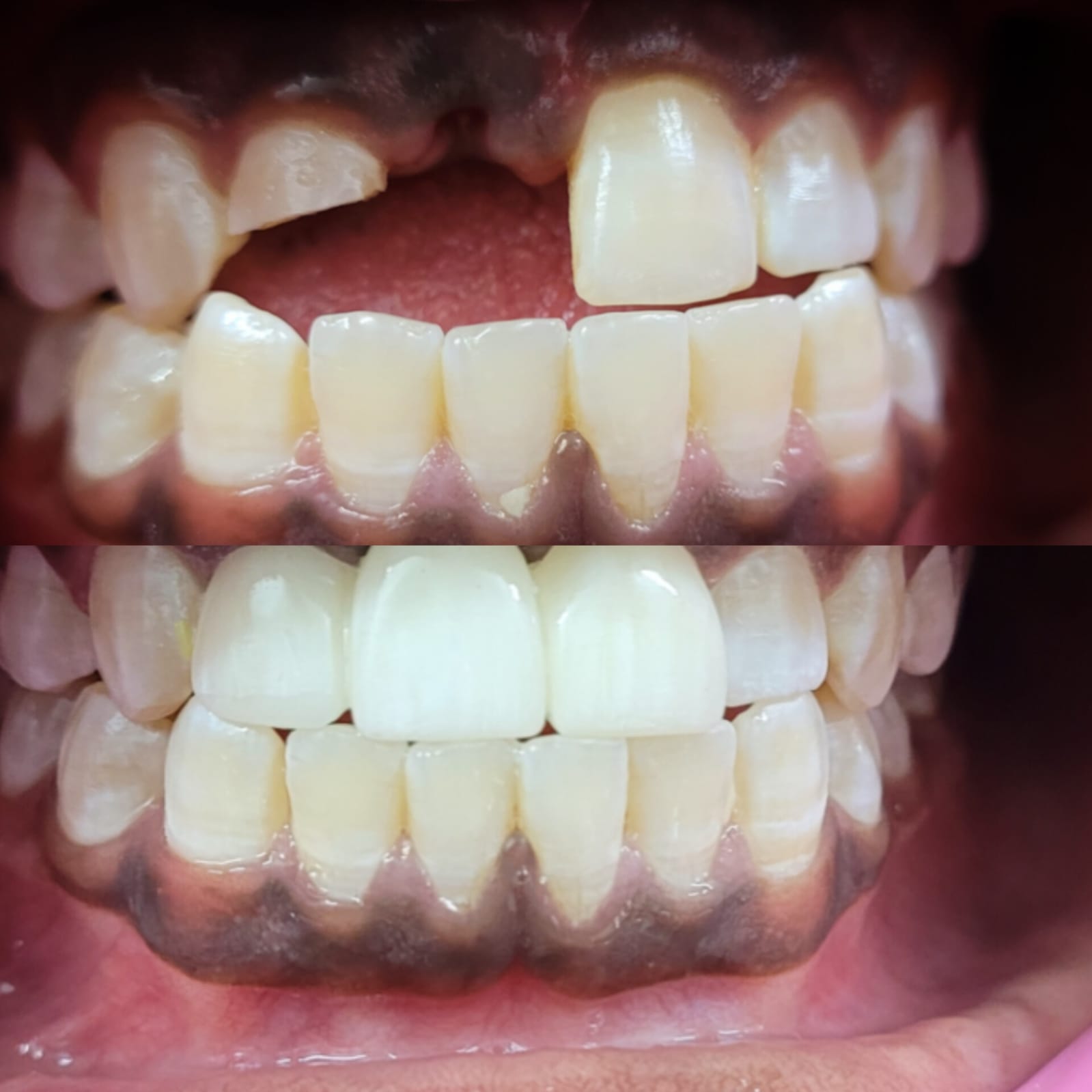
Image Gallery
Business Information
ARB Dental – Advanced & Gentle Dental Care in Rourkela
ARB Dental is a trusted dental clinic located at D 18, near Hanuman Temple, D Block, Koel Nagar, Rourkela, Odisha – 769014. Led by Dr. Bhagyashree Lenka, the clinic is known for providing safe, hygienic, and patient-friendly dental treatments for individuals and families.
With a focus on modern techniques and personalized care, ARB Dental offers comprehensive dental services including routine check-ups, tooth cleaning, fillings, root canal treatment (RCT), crowns & bridges, cosmetic dentistry, smile design, teeth whitening, and preventive dental care.
Dr. Bhagyashree Lenka ensures every patient receives clear guidance, comfortable treatment, and long-term oral health solutions. The clinic maintains strict sterilization standards and uses updated dental equipment to provide effective and painless procedures.
Conveniently located near Hanuman Temple in Koel Nagar, ARB Dental is easily accessible for residents of Rourkela seeking reliable dental care.
Whether you need a regular dental check-up or advanced treatment, ARB Dental is committed to delivering quality care with professionalism and compassion.
???? Address: D 18, near Hanuman Temple, D Block, Koel Nagar, Rourkela, Odisha 769014
???? Phone: 9040940516, 094375 67490
????⚕️ Doctor: Dr. Bhagyashree Lenka
Book your appointment today and take the first step toward a healthier, brighter smile.
Rating and Reviews
Share Your Experience
Users Review
No reviews yet. Be the first to review!
Visitors : 9292722
Website
IMPORTANT LINKS
Copyrights © 2026 PMC YELLOW PAGES.
All Rights Reserved.

